Vorgeburtlicher Ultraschall
Die geburtshilflichen Ultraschalluntersuchungen werden bei uns nur mit vernetzten high-end-Voluson Geräten durchgeführt und werden im folgenden vorgestellt.
Aufnahmen U. Holtkamp
- 1. Basisdiagnostik
Im Rahmen der Mutterschaftsrichtlinien, bei unauffälligem Schwangerschaftsverlauf, sind drei Ultraschalluntersuchungen vorgesehen.
Daneben ist es häufig sinnvoll, diese Basisuntersuchungen durch besondere Ultraschalldiagnostik spezieller Qualifikation zu ergänzen.
Die akkurate vorgeburtliche Diagnostik insgesamt trägt dabei bereits jetzt wesentlich zu einem späteren sicheren Geburtsablauf bei. - 2. 3D/4D-Ultraschall
Mit dem 3D-Ultraschall lassen sich unter anderem Organstrukturen des Ungeborenen so erfassen, dass ein räumliches Bild entsteht, welches wie ein
Foto des Ungeborenen wirkt.
Als 4D-Ultraschall bezeichnet man die Untersuchung, wenn sie wie ein Film abläuft.
Der diagnostische Nutzen des 4D-Verfahrens ist eher gering und ist etwas für die Eltern und Angehörigen selbst. Die Untersuchung trägt natürlich auch zu einem weiteren Bewusstwerden der Schwangerschaft bei.
Eine recht neue Entwicklung ist hierbei die bei uns angebotene Methode der virtuellen Fetuskopie. Durch sehr spezialisierte Ultraschallsonden ist es bei uns auch möglich, räumliche Bilder mit einer ansprechenden Qualität schon zu einem sehr frühen Zeitpunkt anzufertigen. Besuchen Sie doch einmal den 4D-Ticker mit bei uns gefertigten Bildern.
Weiterhin sind zum Beispiel Schichtaufnahmen des Feten, ähnlich einer computertomographischen Untersuchung, bei der Untersuchungsmethode „TUI” ohne weiteres möglich und das Innere des kindlichen Herzens kann räumlich beurteilt werden. - 3. Feindiagnostik
Es werden sehr viele Organe und die Gesamtstruktur des Ungeborenen beurteilt.
Eine sehr aufwendige Untersuchung, welche ungefähr in der 20. bis 22. Schwangerschaftswoche durchgeführt wird und das Ungeborene schon als kleinen Patienten begreift.
In Kenntnis von eventuell vorhandenen Entwicklungsstörungen können bereits jetzt häufig die richtigen Weichen für die Zukunft des Kindes gestellt werden.
Diese Untersuchung kann idealerweise mit einem 3D/4D-Ultraschall, einer Herzechokardiographie und einer Farbdoppleruntersuchung kombiniert werden. Nebenbei ist eine sichere Bestimmung des fetalen Geschlechtes zu diesem Zeitpunkt möglich. - 4. Messung der „Nackenfalte“ / First Trimester Screening
Diese spezialisierte Untersuchung zwischen der 12. und 14. Schwangerschaftswoche hat die Dickenmessung einer besonderen Struktur des Feten, der sog.
Nackentransparenz (Beispielbild) oder im Volksmund auch „Nackenfalte“ in Kombination mit der Bestimmung von 2 Laborwerten zum Ziel.
Dadurch ist eine sehr zuverlässige Risikoabschätzung für die häufigsten chromosomal bedingten Erbkrankheiten möglich (Down-Syndrom, Edwards-Syndrom, Pätau-Syndrom) und trägt fast immer zu einer höheren Sicherheit der werdenden Eltern in dieser Frage bei.
Auch ist das Risiko für weitere Krankheiten wie etwa Herzfehlern bei unauffälliger Nackentransparenz geringer.
Diese Untersuchung trägt sicher dazu bei, die Zahl der Fruchtwasseruntersuchungen zu senken und damit die hier bestehenden Risiken für die Schwangerschaft gegebenenfalls zu umgehen.
Im Zusammenhang mit dieser Untersuchung findet eine spezielle Beratung statt.
Diese Untersuchung wird bei uns zur Qualitätssicherung nach den Richtlinien der FMF Deutschland durchgeführt. - 5. Dopplersonographie
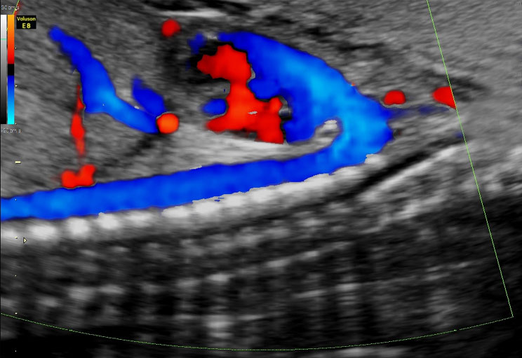
Hierbei handelt es sich um eine Methode, bei welcher die Blutströmungsgeschwindigkeit in Blutgefäßen gemessen wird.
Dies kann z.B. zur Verfeinerung von Untersuchungen, etwa der des kindlichen Herzens, der Beurteilung der Mutterkuchenfunktion und der Funktion der mütterlichen Gefäße herangezogen werden.
Das Einsatzgebiet ist vielfältig und trägt besonders zur Sicherheit von Mutter und Kind in der letzten Phase der Schwangerschaft bei.
Viele potentielle Risiken werden erkannt und behandelt, bevor sie überhaupt für Mutter oder Kind Bedeutung erlangen (Beispiele: Plazentainsuffizienz/Gestose/Notching/Normal). - 6. Herzecho
Die Beurteilung des Herzens des Ungeborenen ist vergleichsweise kompliziert und stellt deshalb wie beim Erwachsenen auch eine eigene Untersuchungsmethode dar.
Da Herzfehler dabei zu den häufigsten kindlichen Fehlbildungen gehören, für welche immer mehr eine adäquate Behandlung existiert, ist der „Herz-Check” auch von großer Bedeutung.
Durch unsere High-end-Ultraschallgeräte sind auch räumliche Bilder der Herzklappen in Funktion durchführbar.





